防晒面罩越戴越黑?真相揭秘
关于防晒面罩越戴越黑的真相揭秘,其实并非所有面罩都会导致皮肤变黑,选择合适的防晒面罩,正确使用并注意日常清洁,可以有效抵御紫外线伤害,避免皮肤晒黑,若面罩质量不佳或使用方法不当,可能会适得其反,在选择和使用防晒面罩时,务必注意产品质量和使用方法,以确保有效防晒,保护皮肤健康,摘要字数控制在约100字左右。
烈日当空,2025年的夏天进入“炙烤模式”。街头悄然涌现一批“蒙面侠”:防晒衣裹身,面罩遮脸,只留一双眼睛露在外面。
防晒面罩还有一个有意思的名字,叫“脸基尼”,近几年,脸基尼都是紧俏商品。Chinagoods平台数据显示,“脸基尼”去年就跻身义乌国际商贸城爆火单品,销售该产品的店铺比前年增加近26%,订单数同比上涨33%。
然而,防晒面罩好像也会起到反作用。当物理防御拉满后,有网友发出了灵魂考问:“全身捂得很严实了,为什么脸还是变黑?”
图源:小红书博主@差点4美女(已获授权)
你可能是热黑的
除了晒黑,你还可能是热黑的,即穿戴的防晒用品越多,身上越热,皮肤可能反而更黑。
首先需要明确一下,什么在决定我们皮肤的颜色。
人体中有4种发色团可以决定皮肤颜色,即类胡萝卜素、血红蛋白、氧合血红蛋白、黑色素,其中黑色素是最主要的成分。人的皮肤颜色不仅依赖于黑色素的产生和黑色素的含量多少,黑色素细胞的数量、树突程度、相关酶的活性和黑素体的转移也都会影响色素沉着,从而影响皮肤颜色。
那么,热是否真的可以让体内黑色素增加?
答案是肯定的。关于热对黑色素合成的作用机制,早就有人在研究。
1998年,法国就有相关研究发现热应激(42℃)和 UVB(紫外线)辐射对人体黑色素细胞功能具有相似的调控作用,甚至热应激的作用更明显。
具体说来,热应激对黑色素的调控主要有两条“路径”,其中一条是热应激和 UVB辐射都能够显著提升酪氨酸酶活性。实验发现,热处理使酪氨酸酶活性提升了115.2%,而UVB组提升了108.6%,热应激的“效果”甚至超越了UVB。
图源:参考资料2
酪氨酸酶是什么?跟黑色素有什么关系?
酪氨酸酶是一种含铜的金属氧化还原酶,广泛存在于微生物、动植物及人体中,尤其在皮肤黑色素细胞中活性显著。它是黑色素合成的限速酶,通过两步催化反应(酪氨酸→多巴→多巴醌)启动黑色素生成,直接影响皮肤、毛发颜色。
简单来说,这种酶就是用来催化黑色素生成的。酪氨酸酶活性越高,生成的黑色素就越多,皮肤也就越黑。很多美白剂就是通过抑制这个酶的活性来达到减少黑色素生成的效果。
而高温会使这个酶的活性提升,从而驱动黑色素合成,使皮肤看起来更黑。
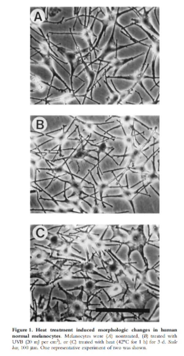
另外,实验还发现,热处理会显著增强黑色素细胞树突结构,使树突增多、胞体增大,加速黑色素转运,而UVB处理不会引起明显形态变化。
B图为UVB辐射处理,C图为热处理|图源:参考资料2
所以,整体来讲,热处理之后身体生成黑色素的能力增加了,皮肤更黑了。
另外,国内也有一项用豚鼠做的实验研究,通过观测艾灸对棕黄色豚鼠皮肤色素沉着的影响,也能证明这一结论。
图源:参考资料3
实验结果显示,艾灸作为一种热处理方法,对豚鼠皮肤色素沉着具有显著影响。从表格中可以看到,单独进行艾灸处理后,豚鼠皮肤的黑色素水平明显提升,其增加幅度达到56%(从基准值1升至1.56±0.29),这一效果与单独紫外线(NB-UVB)照射组的结果(黑色素水平升至1.53±0.34)高度接近,表明热处理本身即可独立刺激黑色素合成,且效率与紫外线相当。
值得注意的是,当艾灸与紫外线联合干预时,黑色素生成呈现显著的协同增强效应,像叠了多层buff,黑色素水平数值飙升至2.08±0.23,较基准值翻了一番儿。也就是说,当皮肤处于很热同时又在被紫外线直接辐射的情况下,会黑得更明显。
过度防晒还有其他风险
这种对阳光的严防死守,还会带来其他风险和隐患。
一个是骨骼健康风险。《中国居民膳食指南科学研究报告》显示,我国18岁以上成人维生素D缺乏率达21.4%,儿童青少年缺乏率为18.6%,而人体约80%的维生素D依赖紫外线照射皮肤合成,仅少量来自食物,过度防晒会阻断这一关键路径。
当防晒走向极端,连面部皮肤也被防晒面罩遮得严严实实时,极易引发钙吸收障碍,导致骨质疏松和骨折的风险激增。
就比如,四川成都一位48岁的女子从不穿短袖且严格使用防晒产品,由于长期持续这种过度防晒的行为,导致她严重骨质疏松,在一次睡觉翻身时,轻微动作即引发骨折。入院检查后发现其体内维生素D含量只有7.8ng/ml(正常参考值20—50ng/ml)。
图源:微博截图
另外一个是安全隐患。骑行或者驾驶时面罩可能会位移,护眼角设计的宽大型面罩也可能因风力或汗水滑落,遮挡视线,造成交通事故。
2024年7月29日,浙江温州就发生过一起因防晒面罩遮挡视线而造成的交通事故。一个司机头戴防晒面罩在驾驶小汽车行至路口左转弯时,视线受阻观察不周,直接冲上了路口BRT站台,除造成车辆受损、护栏损毁外,还将一名路人撞伤。
图源:公安部交通管理局微信视频号截图
此外,长期佩戴防晒面罩还有可能引发皮肤问题。
这种面罩多为人造纤维的材质,与皮肤经常摩擦容易产生机械损伤,可能会诱发接触性皮炎、皮肤感染以及过敏。夏季高温、湿热的天气还会刺激皮脂腺的分泌,如果总是戴着而不注意清洗,也会让面罩变成“细菌培养皿”,可能导致皮肤闷痘、发炎等问题。
看来,防住“热黑”只是一方面,也要注意别让骨质疏松、行车风险还有皮肤损害等“找上门来”。
参考资料
[1]赵美娟,户晶晶,倪辉,姜泽东 & 王力.(2019).黑色素生成信号通路研究进展.生物工程学报,35(09),1633-1642.doi:10.13345/j.cjb.190084.
[2]Im, S., Kim, K., Kim, E., Lee, E., Oh, S., & Lee, J. (2002). Regulatory effects of heat on normal human melanocyte growth and melanogenesis: Comparative study with UVB. Journal of Investigative Dermatology, 118(3), 541–544.
[3]成玉,郭广进,邵丽芳,宋文婷,祃丽娟 & 赵广.(2014).艾灸对豚鼠皮肤色素沉着影响的实验研究.中华中医药杂志,29(03),864-867.
[4]澎湃新闻·澎湃号·政务. (2024年8月14日). 【案例警示】大无语!为防晒“蒙面”开车,冲上站台撞了人! 澎湃新闻.
[5]潮新闻. (2024年5月5日). 突然爆火!义乌老板每天猛卖50000件!. 澎湃新闻.
头图图源:豆包AI制作
作者:敏敏 昂国梅
编辑:田纳西
作者:访客本文地址:https://dszpk.cn/wiki/665.html发布于 2025-07-09 15:19:33
文章转载或复制请以超链接形式并注明出处武汉财经网

还没有评论,来说两句吧...